Últimamente el azúcar o las grasas son uno de los temas más polémicos y debatidos por su elevado consumo en nuestra sociedad y sus efectos perjudiciales para la salud, pero, ¿si se sabe que sontan malos, porqué la gente no reduce la cantidad que consume al día?. La respuesta a esta pregunta está en el efecto adictivo que tienen estas sustancias.

De hecho, los estudios actuales que han salido a la luz comparan el efecto del azúcar en el cerebro con el que tiene la cocaína y se podría decir que en esto está la clave de su "poder adictivo". Estos estudios tienen como objetivo ver los efectos que causa el azúcar en el cerebro humano.

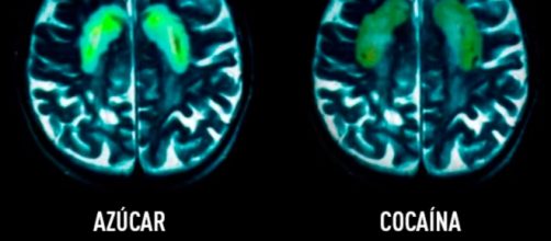
En la imágenes que os hemos dejado se puede observar claramente la similitud entre el consumo de ambas sustancias. La "mancha" roja que se ve en las fotos hace referencia a la dopamina que nuestro cuerpo secreta. ¿Cómo actúa esta sustancia química?. Se puede considerar como una sustancia de recompensa que nuestro cerebro genera cuando satisfecho, para decirlo de una forma que se entienda. Los ejemplos más conocidos es cuando hacemos ejercicio o mantenemos relaciones íntimas. En esos momentos se genera dopamina como respuesta del cuerpo a un estado de satisfacción. Lo mismo ocurre cuando alguien come algo que le gusta.

El caso es que en situaciones de adicción no ocurre de la misma forma. Lo normal es que primero se realice la acción que nos daría el placer y luego se genere como respuesta la dopamina.

En los adictos, la dopamina se activa antes de haberse realizado la acción, es decir, ya no sería una sustancia de recompensa.

El problema es que en el momento de obtener lo que se quiere, por ejemplo comer algo que nos gusta, la respuesta en un adicto es inferior a las personas que no son adictas. Es decir, sienten menos "placer" porque esta "respuesta de recompensa" está reducida. Es más, las personas con problemas de adicción tienen incluso menos receptores de dopamina y eso hace que se capten menos y que la señal sea más débil.

Y he aquí el quid de la cuestión, el azúcar crea este efecto en el cerebro del mismo modo que lo hacen algunas drogas como la cocaína, el alcohol o el tabaco.De hecho, el estudio que se realizó por un grupo de investigadores de la Universidad de Connecticut confirma que tanto el azúcar como las grasas son productos adictivos, tanto como la cocaína.